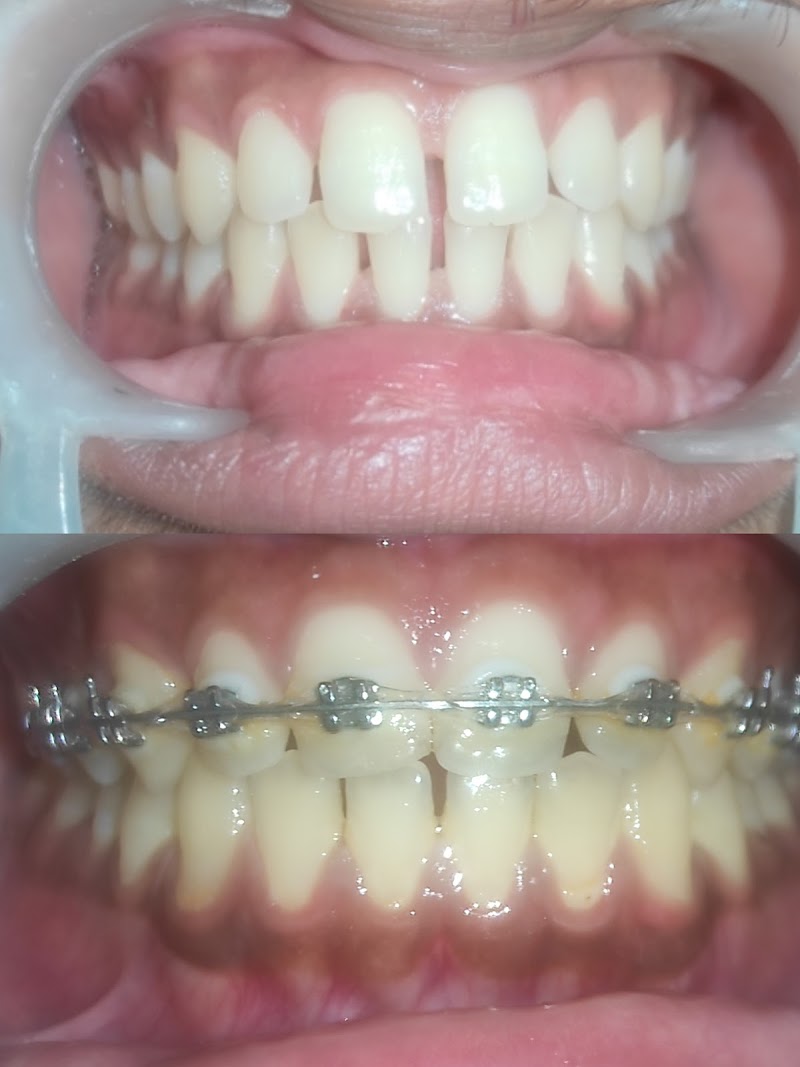
Just Smile Dental Clinic , Dr. prashant kumar is a trusted healthcare facility in Bhagalpur, serving the community with professional care. Conveniently located in Bhagalpur Division, it ensures accessibility for residents of Bihar. With modern infrastructure and a compassionate team, Just Smile Dental Clinic , Dr. prashant kumar is committed to better outcomes. It offers a wide range of medical services for patients of all ages. Address: Rani Lakshmibai Chowk, Katahalbari, Khanjarpur, Bhagalpur, Bihar 812001, India. Many consider it a landmark destination in the area.
Khanjarpur, Bhagalpur, Bhagalpur Division, Bihar, 812001, India